ΥΓΕΙΑ 10/04/2026 10:22 Συνέβη σε ελληνικό νησί: 58χρονη φτερνίστηκε «σκουλήκια» από τη μύτη της -Πώς προέκυψε η «βιολογικά απίθανη» λοίμωξη
ΖΩΗ 04/02/2026 14:01 Η Κλερ Φόι λέει ότι έκοψε την καφεΐνη όταν ανακάλυψε ένα παράσιτο στο σώμα της -Μια παράξενη πάθηση, «εντελώς σιχαμένο»
STORIES 29/12/2025 21:42 Ο άνθρωπος που πολεμά μόνος του το πιο φονικό παράσιτο του κόσμου -Το καλαζάρ στην καρδιά της Αφρικής
ΠΟΛΙΤΙΣΜΟΣ 25/11/2025 21:28 Ένα παράσιτο αγκιστρώθηκε στην πόλη, στο παλιό λατομείο Φιλοπάππου: Είδαμε το έργο του Α. Τζάννη για τον ΝΕΟΝ
ΚΟΣΜΟΣ 25/08/2025 14:00 ΗΠΑ: Εντοπίστηκε για πρώτη φορά μετά από χρόνια θανατηφόρο σαρκοφάγο παράσιτο σε άνθρωπο -Το «σκουλήκι του Νέου Κόσμου»
ΤΕΧΝΟΛΟΓΙΑ 06/06/2025 22:31 Κινητό τηλέφωνο όπως... βδέλλα: Γιατί το smartphone σας είναι ένα παράσιτο -Μια συναρπαστική εξελικτική θεωρία
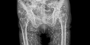
ΚΟΣΜΟΣ 24/01/2025 13:55 «Η πιο τρελή ακτινογραφία που έχω δει»: Σώμα ασθενούς στη Φλόριντα γεμάτο με σκουλήκια του παράσιτου «ταινία»
ΥΓΕΙΑ 29/08/2024 12:09 Γιατρός δείχνει τι έπαθε ασθενής που κατανάλωσε μισοψημένο χοιρινό -Σοκάρει η αξονική, τι συμβουλεύει
ΚΟΣΜΟΣ 08/05/2024 21:07 Ανατριχιαστικό: Παράσιτο έφαγε μέρος του εγκεφάλου του Ρόμπερτ Κένεντι junior -Είναι υποψήφιος πρόεδρος των ΗΠΑ
ΚΟΣΜΟΣ 22/06/2023 12:24 Σε καραντίνα η Φλόριντα για τα γιγαντιαία σαλιγκάρια -Η τροφή και το φονικό παράσιτο που μεταφέρουν
ΕΛΛΑΔΑ 23/03/2023 08:10 Νέα Σμύρνη: Ξέσπασμα για τον Ελλάδιο της «Κιβωτού» -Είναι παράσιτο που ζει εις βάρος άλλων, λέει συγγενής του