Η διατροφή με υψηλή περιεκτικότητα σε υπερεπεξεργασμένα τρόφιμα συνδέεται με υψηλότερες ποσότητες λίπους που αποθηκεύονται στο εσωτερικό των μυών.
Αλλά και των μηρών, ανεξάρτητα από την ποσότητα των θερμίδων που καταναλώνονται ή το επίπεδο σωματικής δραστηριότητας, σύμφωνα με μελέτη που παρουσιάστηκε στο ετήσιο συνέδριο της Ακτινολογικής Εταιρείας της Βόρειας Αμερικής.
Έρευνα για υπερεπεξεργασμένα τρόφιμα
Στα υπερεπεξεργασμένα τρόφιμα συγκαταλέγονται δημητριακά πρωινού, μαργαρίνες και αλείμματα, συσκευασμένα σνακ, χοτ ντογκ, αναψυκτικά, ενεργειακά ποτά, καραμέλες και επιδόρπια, κατεψυγμένες πίτσες, έτοιμα προς κατανάλωση γεύματα, συσκευασμένα ψωμιά και άλλα τρόφιμα με συνθετικά συστατικά, που περιέχουν έναν συνδυασμό ζάχαρης, λίπους, αλατιού και υδατανθράκων.
Οι ερευνητές έθεσαν στόχο να αξιολογήσουν την επίδραση της ποιότητας της διατροφής στο ενδομυϊκό λίπος, μέσα από τη χρήση μαγνητικής τομογραφίας σε 666 άτομα (455 άνδρες και 211 γυναίκες). Κατά μέσο όρο οι συμμετέχοντες ήταν 60 ετών, υπέρβαροι με δείκτη μάζας σώματος 27, ενώ περίπου το 40% των τροφίμων που κατανάλωναν τον τελευταίο χρόνο ήταν υπερεπεξεργασμένα.
Όπως διαπιστώθηκε, όσο περισσότερα υπερεπεξεργασμένα τρόφιμα κατανάλωναν οι συμμετέχοντες τόσο περισσότερο ενδομυϊκό λίπος είχαν στους μυς των μηρών τους, ανεξάρτητα από τη θερμιδική πρόσληψη, το επίπεδο σωματικής δραστηριότητας, τον δείκτη μάζας σώματος και τους κοινωνικοδημογραφικούς παράγοντες.
Οι ερευνητές προειδοποιούν ότι οι υψηλότερες ποσότητες ενδομυϊκού λίπους στον μηρό θα μπορούσαν να αυξήσουν τον κίνδυνο για οστεοαρθρίτιδα του γόνατος.
«Η κατανόηση αυτής της σχέσης θα μπορούσε να έχει σημαντικές κλινικές επιπτώσεις, καθώς προσφέρει μια νέα προοπτική για το πώς η ποιότητα της διατροφής επηρεάζει τη μυοσκελετική υγεία», σημειώνει η επικεφαλής της μελέτης, Ζέχρα Ακάγια, ερευνήτρια στο Τμήμα Ακτινολογίας και Βιοϊατρικής Απεικόνισης στο Πανεπιστήμιο της Καλιφόρνια στο Σαν Φρανσίσκο.
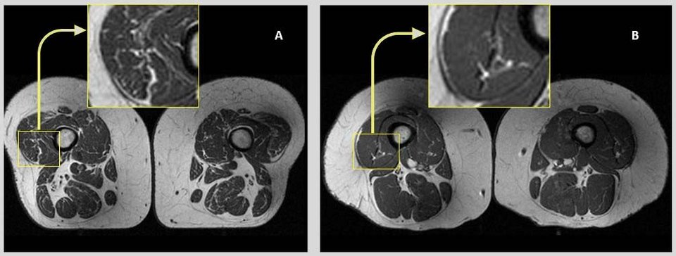
Δείτε την εικόνα:

- Εικόνες μαγνητικής τομογραφίας από τις πλευρικές πτυχές των τετρακέφαλων μηριαίων μυών δύο γυναικών που συμμετείχαν στη μελέτη, ηλικίας 58 (Α) και 62 ετών (Β).
- Στη γυναίκα Α, της οποίας η διατροφή αποτελείτο κατά 68% από υπερεπεξεργασμένες τροφές, οι μηριαίοι μύες παρουσιάζουν πολλές λιπαρές ραβδώσεις.
- Στη γυναίκα Β, που η διατροφή περιείχε μόνο 36% υπερεπεξεργασμένα τρόφιμα, οι μύες των μηρών παρουσιάζουν λιγότερες λιπαρές ραβδώσεις.CREDIT: Radiological Society of North Aurora (RSNA) and Zehra Akkaya
ΑΠΕ-ΜΠΕ