Αυτή είναι είδηση: Γάτος πολέμιος της τηλεόρασης κατάπιε κεραία, γράφει o Guardian [εικόνα] - iefimerida.gr

Αυτή είναι είδηση: Γάτος πολέμιος της τηλεόρασης κατάπιε κεραία, γράφει o Guardian [εικόνα]

NEWSROOM IEFIMERIDA.GR

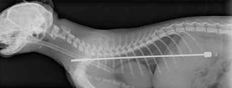
Σε έκτακτη χειρουργική επέμβαση υπεβλήθη νεαρός γάτος ονόματι Άλφι, η μανία του οποίου με την τηλεόραση τον έκανε να φάει την μήκους 15 εκατοστών κεραία της.

Αμετανόητος πολέμιος του απεχθούς μέσου μαζικής ενημέρωσης, το τετράποδο αιλουροειδές αποφάσισε να βάλει μια για πάντα τέλος στο «χαζοκούτι», ρίχοντάς το κάτω και «μασουλώντας» τη μεταλλική κεραία, η οποία ευτυχώς δεν του τραυμάτισε τη στομαχική κοιλότητα.

Ολοένα και περισσότερα είναι τον τελευταίο καιρό τα περιστατικά κατοικίδιων ζώων που στρέφονται εναντίον κάθε είδους βρώσιμης συσκευής, συνέπεια της μεγάλης δυσφορίας που τους προκαλεί ο πολιτισμός!

Αυτή είναι είδηση: Γάτος πολέμιος της τηλεόρασης κατάπιε κεραία, γράφει o Guardian [εικόνα] | iefimerida.gr 0
Ακολουθήστε το στο Google News και μάθετε πρώτοι όλες τις ειδήσεις
Δείτε όλες τις τελευταίες Ειδήσεις από την Ελλάδα και τον Κόσμο, στο 
ΔΙΑΒΑΣΤΕ ΠΕΡΙΣΣΟΤΕΡΑ Guardian τηλεόραση γάτος είδηση κεραία
ΣΧΟΛΙΑΣΜΟΣ
Tο iefimerida.gr δημοσιεύει άμεσα κάθε σχόλιο. Ωστόσο δεν υιοθετούμε τις απόψεις αυτές καθώς εκφράζουν αποκλειστικά τον εκάστοτε σχολιαστή. Σχόλια με ύβρεις διαγράφονται χωρίς προειδοποίηση. Χρήστες που δεν τηρούν τους όρους χρήσης αποκλείονται.

ΔΕΙΤΕ ΕΠΙΣΗΣ

ΠΕΡΙΣΣΟΤΕΡΑ