Κι όμως συνέβη: Εβηξε τόσο δυνατά που έσπασε το πλευρό της [εικόνα] - iefimerida.gr

Κι όμως συνέβη: Εβηξε τόσο δυνατά που έσπασε το πλευρό της [εικόνα]

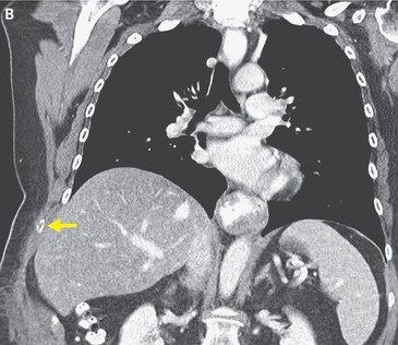
Η μελανιασμένη δεξιά πλευρά της 66χρονης οφειλόταν στο σπασμένο πλευρό. Φωτογραφία:New England Journal of Medicine
NEWSROOM IEFIMERIDA.GR

Ένα απίστευτο περιστατικό σημειώθηκε στην Μασαχουσέτη των Ηνωμένων Πολιτειών όταν μια γυναίκα έβηξε τόσο δυνατά, που έσπασε ένα πλευρό της.

Σύμφωνα με την μελέτη που δημοσιεύτηκε στο New England Journal of Medicine, μια 66χρονη γυναίκα, της οποίας το όνομα δεν έχει γίνει γνωστό, πήγε στο γιατρό της θεωρώντας πως είχε απλώς γρίπη.

Κι όμως συνέβη: Εβηξε τόσο δυνατά που έσπασε το πλευρό της [εικόνα] | iefimerida.gr 0

Είχε ξηρό βήχα για δύο εβδομάδες και πόνο στη δεξιά πλευρά, αλλά η θεραπεία που της έδωσε, δεν έδιωξε τα συμπτώματα.

Όταν επέστρεψε στο γιατρό, πέντε ημέρες αργότερα, σήκωσε την μπλούζα της για να του δείξει ένα μεγάλο σκοτεινό σημάδι στην δεξιά πλευρά του κορμού της και ήταν ξεκάθαρο πως υπήρχε ένα μεγάλο πρόβλημα.

Κι όμως συνέβη: Εβηξε τόσο δυνατά που έσπασε το πλευρό της [εικόνα] | iefimerida.gr 1

Η γυναίκα, από τη Μασαχουσέτη, υποβλήθηκε σε αξονική τομογραφία, η οποία αποκάλυψε ότι είχε μετατοπισμένο κάταγμα του 9ου πλευρού της – το πλευρό είχε σπάσει και τα δύο κομμάτια είχαν διαχωριστεί.

Περαιτέρω εξετάσεις επιβεβαίωσαν πως είχε μολυνθεί με Bordetella pertussis, που προκαλεί ξηρό βήχα.

Ευτυχώς, η 66χρονη έλαβε αντιβίωση και ανέκαμψε πλήρως μετά από χειρουργική επέμβαση για το δέσιμο του σπασμένου πλευρού.

Ακολουθήστε το στο Google News και μάθετε πρώτοι όλες τις ειδήσεις
Δείτε όλες τις τελευταίες Ειδήσεις από την Ελλάδα και τον Κόσμο, στο 
ΣΧΟΛΙΑΣΜΟΣ
Tο iefimerida.gr δημοσιεύει άμεσα κάθε σχόλιο. Ωστόσο δεν υιοθετούμε τις απόψεις αυτές καθώς εκφράζουν αποκλειστικά τον εκάστοτε σχολιαστή. Σχόλια με ύβρεις διαγράφονται χωρίς προειδοποίηση. Χρήστες που δεν τηρούν τους όρους χρήσης αποκλείονται.

ΔΕΙΤΕ ΕΠΙΣΗΣ

ΠΕΡΙΣΣΟΤΕΡΑ