Ιατρικό θαύμα: Το μωρό που γεννήθηκε δύο φορές [εικόνες] - iefimerida.gr

Ιατρικό θαύμα: Το μωρό που γεννήθηκε δύο φορές [εικόνες]

Φωτογραφία: Margaret Boehmer
NEWSROOM IEFIMERIDA.GR

Η μικρή Λίνλι Χόουπ Μπέμερ από το Λιούιβιλ του Τέξας είναι ένα μωρό ξεχωριστό από τα άλλα. Όταν μεγαλώσει θα μπορεί να γιορτάζει δυο φορές το χρόνο τα γενέθλιά της, αφού "γεννήθηκε" δυο φορές.


Η Λίνλι "γεννήθηκε" μια φορά κατά τη διάρκεια της κύησής της, όταν έκλεισε την 28η εβδομάδα στη μήτρα της μητέρας της και την δεύτερη, κανονική φορά, όταν συμπλήρωσε 40 εβδομάδες ζωής.

Ιατρικό θαύμα: Το μωρό που γεννήθηκε δύο φορές [εικόνες] | iefimerida.gr 0


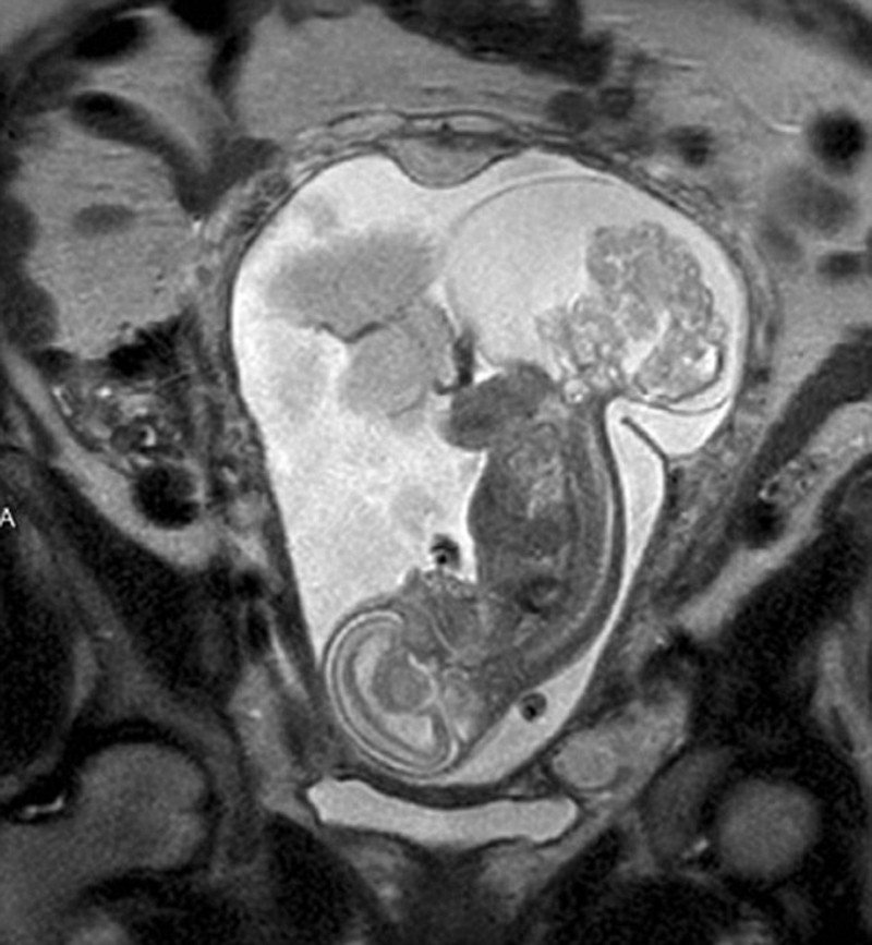
Η μητέρα της μικρής, η Μάργκαρετ, διήνυε την 16η εβδομάδα της κύησης της, όταν μετά από επίσκεψη στον γιατρό ενημερώθηκε ότι το έμβρυο είχε ένα ιεροκοκκυγικό τεράτωμα: είχε αναπτυχθεί ένας όγκος στην περιοχή του ιερού οστού και του κόκκυγά του – κάτι που παρουσιάζεται σε 1 στις 30.000-70.000 γεννήσεις.

Ιατρικό θαύμα: Το μωρό που γεννήθηκε δύο φορές [εικόνες] | iefimerida.gr 1

Ο όγκος αναπτυσσόταν ραγδαία και τρεφόταν από το αίμα του εμβρύου, κάτι που σταδιακά θα προκαλούσε καρδιακή ανεπάρκεια και θα οδηγούσε στον θάνατό του. Ο μόνος τρόπος για να σωθεί, ήταν να υποβληθεί σε μια πρωτοποριακή και συνάμα επικίνδυνη χειρουργική επέμβαση, που πρότειναν οι γιατροί της εμβρυϊκής κλινικής του Νοσοκομείου Παίδων του Τέξας και η οποία απαιτούσε την εξαγωγή του εμβρύου από τη μήτρα της μητέρας του.

Οι γονείς της Λίνλι προτίμησαν να μη διακόψουν την κύηση αλλά να δώσουν στην κόρη τους μια ευκαιρία. Κι έτσι έδωσαν το πράσινο φως στους γιατρούς να προχωρήσουν στην επέμβαση.
Μετά από 28 εβδομάδες κύησης οι γιατροί έβγαλαν το έμβρυο από τη μήτρα της μητέρας του και κατάφεραν να αφαιρέσουν τον όγκο σε μια πολύπλοκη επέμβαση, που διήρκεσε πέντε ολόκληρες ώρες.

Ιατρικό θαύμα: Το μωρό που γεννήθηκε δύο φορές [εικόνες] | iefimerida.gr 2


Στη συνέχεια οι γιατροί τοποθέτησαν και πάλι το έμβρυο στη μήτρα της μητέρας του, και 12 εβδομάδες αργότερα η Λίνλι ήρθε στον κόσμο με καισαρική για να (ξανα)αντικρίσει το φως της ζωής...

Ιατρικό θαύμα: Το μωρό που γεννήθηκε δύο φορές [εικόνες] | iefimerida.gr 3


Οκτώ μέρες μετά τη γέννησή της η μικρή υποβλήθηκε και σε νέα επέμβαση για την αφαίρεση των υπολειμμάτων του όγκου. Aλλά, τώρα, τέσσερις μήνες αργότερα αναρρώνει στο σπίτι της με την οικογένειά της. «Το μωρό είναι καλά στην υγεία του και θα αναρρώσει πλήρως. Μάλιστα οι γονείς της την έχουν πάρει στο σπίτι και έχει ξεπεράσει κίνδυνο», αναφέρουν ενθουσιασμένοι οι γιατροί.

Ιατρικό θαύμα: Το μωρό που γεννήθηκε δύο φορές [εικόνες] | iefimerida.gr 4
Ακολουθήστε το στο Google News και μάθετε πρώτοι όλες τις ειδήσεις
Δείτε όλες τις τελευταίες Ειδήσεις από την Ελλάδα και τον Κόσμο, στο 
ΔΙΑΒΑΣΤΕ ΠΕΡΙΣΣΟΤΕΡΑ ΙΑΤΡΙΚΟ ΘΑΥΜΑ
ΣΧΟΛΙΑΣΜΟΣ
Tο iefimerida.gr δημοσιεύει άμεσα κάθε σχόλιο. Ωστόσο δεν υιοθετούμε τις απόψεις αυτές καθώς εκφράζουν αποκλειστικά τον εκάστοτε σχολιαστή. Σχόλια με ύβρεις διαγράφονται χωρίς προειδοποίηση. Χρήστες που δεν τηρούν τους όρους χρήσης αποκλείονται.

ΔΕΙΤΕ ΕΠΙΣΗΣ

ΠΕΡΙΣΣΟΤΕΡΑ