Μπρίτανι Μέιναρντ: Διχάζει η 29χρονη που έχει προγραμματίσει να πεθάνει την 1η Νοεμβρίου [εικόνες&βίντεο] - iefimerida.gr

Μπρίτανι Μέιναρντ: Διχάζει η 29χρονη που έχει προγραμματίσει να πεθάνει την 1η Νοεμβρίου [εικόνες&βίντεο]

NEWSROOM IEFIMERIDA.GR

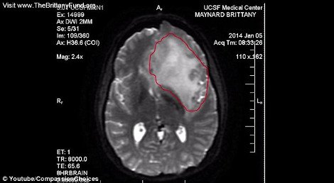
Η ζωή έπαιξε άσχημο παιχνίδι στην 29χρονη Μπρίτανι Μέιναρντ, καθώς, λίγο πριν κλείσει τα 30 της χρόνια διαγνώσθηκε με επιθετική μορφή καρκίνου στον εγκέφαλο.Αποφάσισε, λοιπόν, να βάλει τέλος στη ζωή της γιατί, όπως δηλώνει, θέλει να πεθάνει με αξιοπρέπεια, ενώ, αυτό θα συμβεί με ευθανασία την 1η Νοεμβρίου.

Οι γιατροί της είπαν ότι έχει μόνο έξι μήνες ζωής και πως ο θάνατός της θα είναι αργός και επίπονος και για το λόγο αυτό η Μπρίτανι θέλησε να κάνει ευθανασία.

Μπρίτανι Μέιναρντ: Διχάζει η 29χρονη που έχει προγραμματίσει να πεθάνει την 1η Νοεμβρίου [εικόνες&βίντεο] | iefimerida.gr 0

Στην πολιτεία της Καλιφόρνια, όπου διέμενε, δεν επιτρέπεται η ευθανασία και η Μέιναρντ αναγκάστηκε να μεταφερθεί στο Ορεγκον, όπου, την 1η Νοεμβρίο, μία ημέρα μετά τα γενέθλια του συζύγου της θα βάλει τέλος στη ζωή της.

Μπρίτανι Μέιναρντ: Διχάζει η 29χρονη που έχει προγραμματίσει να πεθάνει την 1η Νοεμβρίου [εικόνες&βίντεο] | iefimerida.gr 1
Μπρίτανι Μέιναρντ: Διχάζει η 29χρονη που έχει προγραμματίσει να πεθάνει την 1η Νοεμβρίου [εικόνες&βίντεο] | iefimerida.gr 2

Η ίδια δηλώνει ότι δεν είναι αυτόχειρας, δεν θέλει να πεθάνει, αλλά θέλει να φύγει από τη ζωή με τους δικούς της όρους.

Μπρίτανι Μέιναρντ: Διχάζει η 29χρονη που έχει προγραμματίσει να πεθάνει την 1η Νοεμβρίου [εικόνες&βίντεο] | iefimerida.gr 3

«Αν ήθελα να αυτοκτονήσω θα το έκανα νωρίτερα, για να γλιτώσω από τους φρικτούς πόνους» υποστηρίζει, ενώ, προσθέτει ότι έχει ήδη στα χέρια της τη θανατηφόρα συνταγή που θα χρησιμοποιήσει σε 24 ημέρες.

Ακολουθήστε το στο Google News και μάθετε πρώτοι όλες τις ειδήσεις
Δείτε όλες τις τελευταίες Ειδήσεις από την Ελλάδα και τον Κόσμο, στο 
ΣΧΟΛΙΑΣΜΟΣ
Tο iefimerida.gr δημοσιεύει άμεσα κάθε σχόλιο. Ωστόσο δεν υιοθετούμε τις απόψεις αυτές καθώς εκφράζουν αποκλειστικά τον εκάστοτε σχολιαστή. Σχόλια με ύβρεις διαγράφονται χωρίς προειδοποίηση. Χρήστες που δεν τηρούν τους όρους χρήσης αποκλείονται.

ΔΕΙΤΕ ΕΠΙΣΗΣ

ΠΕΡΙΣΣΟΤΕΡΑ